fbpx

Béance Dentaire

Un problème buccodentaire qui va bien au-delà de l'esthétique

Découvrez comment identifier et corriger la béance dentaire de votre enfant à temps, pour assurer un développement sain et un sourire parfait.

La béance dentaire, également connue sous le nom d’infra-occlusion, est un type de malocclusion où les dents supérieures et inférieures ne se touchent pas lorsqu’on ferme la bouche.

Bien qu’elle affecte principalement l’esthétique du sourire, ses conséquences vont bien au-delà : elle peut entraîner des difficultés pour mastiquer, parler et, dans certains cas, respirer correctement. Détecter et traiter ce problème à temps est essentiel pour éviter des complications dans le développement facial et dentaire de votre enfant.

Tout d'abord, il est important de comprendre...

Pourquoi se produit la béance dentaire ?

Les causes les plus fréquentes de la béance dentaire sont :

1. Habitudes orales persistantes

Le développement d’une occlusion ouverte est généralement lié à des habitudes qui exercent une pression continue sur les dents et le palais, comme par exemple :

  • Succion du pouce : Si l’enfant continue de sucer son pouce après l’âge de 3 ans, cela peut provoquer une pression constante sur les dents supérieures, les poussant vers l’avant et empêchant leur alignement correct avec les dents inférieures.

  • Déglutition atypique : Lorsque la langue pousse les dents vers l’avant au lieu de se presser contre le palais pendant la déglutition.

  • Respiration buccale : Lorsque l’enfant respire par la bouche à cause d’une obstruction nasale, la position de la langue change, perturbant ainsi le développement des mâchoires et des dents.

2. Causes génétiques

Dans certains cas, la béance dentaire peut avoir une origine génétique. Une croissance disproportionnée des mâchoires ou une prédisposition à un mauvais alignement dentaire peuvent être des facteurs déterminants.

Conséquences de la Béance Dentaire sur le Développement

Si elle n’est pas corrigée, la béance dentaire peut affecter négativement la vie de l’enfant, tant sur le plan physique qu’émotionnel.

Voici les principales conséquences :

1. Impact esthétique

La béance dentaire est une malocclusion visible qui peut affecter la confiance en soi de l’enfant. Cela peut entraîner une faible estime de soi, impactant sa vie sociale et son rendement scolaire.

2. Problèmes de langage

Ce type de malocclusion interfère avec la bonne position de la langue, rendant difficile la prononciation de certains sons, et peut entraîner des problèmes de communication.

3. Difficultés de mastication

Le manque de contact entre les dents rend difficile la bonne mastication des aliments, ce qui peut provoquer des problèmes digestifs et des douleurs à la mâchoire.

4. Problèmes respiratoires et du sommeil

La béance dentaire, surtout si elle est associée à la respiration buccale, peut contribuer à des troubles respiratoires comme l’apnée du sommeil, affectant la qualité du sommeil et l’énergie de l’enfant au quotidien.

5. Usure dentaire et problèmes parodontaux

Le contact anormal entre les dents peut entraîner une usure prématurée, augmentant ainsi le risque d’abrasion et de problèmes de gencives.

6. Sécheresse buccale et irritation

Les enfants présentant une béance dentaire respirent souvent par la bouche, ce qui entraîne une sécheresse buccale accrue, augmentant le risque d’irritation de la gorge et d’infections respiratoires.


L’absence de traitement à temps de la béance dentaire peut non seulement générer des problèmes fonctionnels et psychologiques chez l’enfant, affectant son estime de soi et sa vie sociale, mais aussi compliquer considérablement sa correction à l’âge adulte.

Bien qu’elle puisse être corrigée, elle nécessite dans de nombreux cas des interventions chirurgicales ou des extractions dentaires. Il est donc essentiel d’agir rapidement pour éviter des complications plus graves.

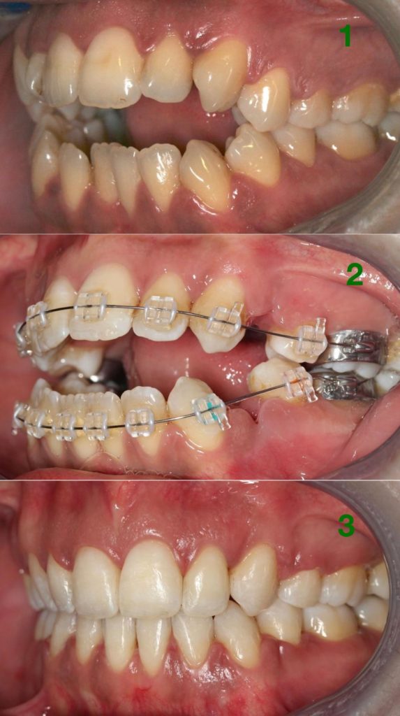
L’un des cas étudiés par le Dr Marin

Comment éviter les conséquences de la Béance Dentaire

Il est essentiel de traiter la Béance Dentaire dès les premiers stades afin d’éviter les nombreuses complications qui peuvent survenir si elles ne sont pas traitées à temps. Une évaluation précoce est cruciale pour éviter ces conséquences.

Si une occlusion ouverte est détectée, un traitement orthodontique doit être entrepris dès que possible.

À la clinique Orthoart, nous pouvons aider votre enfant à corriger l’alignement dentaire et à promouvoir un développement équilibré des mâchoires, avec un succès garanti grâce à l’expérience du Dr Luis Alberto Marín, qui compte plus de 30 ans d’expérience et des milliers de cas réalisés.

Vous pouvez demander plus d’informations et réserver une première consultation avec le Dr Marin en cliquant sur le bouton suivant :

Dr. Luis Alberto Marin C.

Médecin dentiste

Avec 30 ans d’expérience en orthodontie, le Dr. Luis Alberto Marín est diplômé en médecine dentaire du Collège d’Odontologie Colombien.

Il a obtenu l’homologation de son diplôme par le Ministère de l’Éducation et des Sciences pour la licence en odontologie de l’Université de Saint-Jacques de Compostelle en 2007 (Espagne).

En 2015, il a reçu l’attestation de reconnaissance de la Mebeko, la Confédération à Berne, pour son diplôme de médecin-dentiste.

Le Dr. Luis Marín a complété une formation en orthodontie à l’Université Technologique de Mexico (UNITEC) et un Master en Orthodontie et Orthopédie dento-faciale à l’Université Cardinal Herrera de Valence, Espagne (CEU).

Il a exercé en Mexique, en Colombie, en Espagne et maintenant en Suisse.

Fort de plus de 25 ans d’expérience, il est spécialisé dans l’utilisation des technologies les plus avancées en imagerie et informatique, telles que les tracés céphalométriques, la simulation des traitements, la prédiction de la croissance, ainsi que les traitements chirurgicaux et orthodontiques informatisés, avec plus de 7000 patients traités dans sa pratique exclusive.

Afin d'aider son fils, le Dr Marín doit effectuer une séance de...

Évaluation et Diagnostic

Le premier pas pour traiter la béance dentaire est une évaluation complète et personnalisée, qui comprend :

  • Antécédents médicaux : Nous recueillons des informations sur les habitudes orales de l’enfant et tout symptôme associé.
  • Examen visuel : Nous inspectons la bouche et les mâchoires pour identifier les signes de malocclusion.
  • Radiographies et photographies : Ces images nous permettent d’analyser en détail la structure dentaire et osseuse.

 

Plan de traitement

Après l’évaluation, le Dr. Marín élaborera un plan de traitement adapté aux besoins spécifiques de votre enfant. Le traitement peut inclure :

  1. Conseils et éducation : Nous aidons les parents à éliminer les habitudes orales néfastes, telles que sucer le pouce.
  2. Dispositifs oraux : Dans certains cas, des dispositifs spécifiques peuvent être utilisés pour décourager ces habitudes et corriger l’alignement dentaire.
  3. Suivi et monitoring : Nous effectuons des contrôles réguliers pour suivre les progrès du traitement et apporter les ajustements nécessaires.

Résultats attendus

Avec un traitement personnalisé et complet, il est possible de corriger entièrement la béance dentaire, améliorant ainsi l’esthétique et la fonctionnalité dentaires.

Le résultat final est un sourire équilibré, avec une amélioration notable de la capacité à mastiquer, parler et respirer correctement.

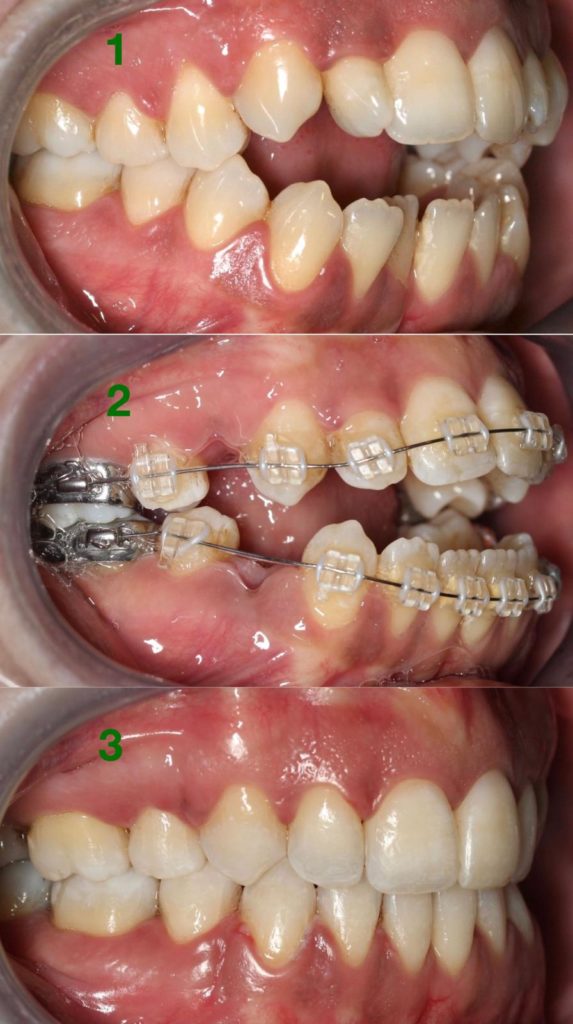
Quelques-uns des cas traités par le Dr Marin.

Demander une consultation d'évaluation avec le Dr Marin

Demandez une consultation pour recevoir un diagnostic personnalisé à l’aide du formulaire ci-dessous.

Comprend:

✔️ Photos cliniques. 
✔️ Évaluation et diagnostic par votre médecin. 
✔️ Plan de traitement.
✔️ Devis personnalisé.
✔️ Garanties de qualité et de résultats.

Clinique Onex

Clinique Geneve

Cas clinique

Correction de la béance dentaire et restauration de l'équilibre facial

Dans cette vidéo, nous vous présentons le cas d’une jeune fille présentant une occlusion ouverte, causée par une habitude de positionner la langue de manière incorrecte. Comme vous pouvez le constater, cette situation n’a pas seulement affecté ses dents, mais aussi la croissance de son visage. La mâchoire supérieure a pris une forme triangulaire, ce qui s’est traduit par une bouche plus petite et un développement nasal altéré.

Grâce à un traitement orthodontique spécialisé, nous avons corrigé sa béance et rétabli l’équilibre du visage. Les résultats sont évidents, tant dans son sourire que dans l’harmonie de son visage. Ce cas souligne l’importance de traiter ce type de malocclusion à temps pour éviter des complications plus graves à l’avenir.

“Este sitio no es parte del sitio web de Facebook o Facebook Inc. Además, este sitio NO está respaldado por Facebook de ninguna manera. FACEBOOK es una marca comercial de FACEBOOK, Inc. ”

Chat Icon