fbpx

HABITUDES DE L’ENFANT ET CROISSANCE FACIALE : UN GUIDE POUR LES PARENTS

Les habitudes quotidiennes de votre enfant peuvent modifier la façon dont son visage et son sourire se développent. Plus son développement est évalué tôt, plus il sera simple, court et confortable de corriger toute altération, en évitant des traitements longs ou difficiles à l’avenir.

Demandez une évaluation professionnelle et découvrez s’il est temps d’intervenir.

Un sourire sain dépend d’un bon développement facial et dentaire.
Certaines habitudes courantes — succion du pouce, respiration par la bouche, ronger les ongles ou position incorrecte de la langue — peuvent modifier ce développement sans que les parents ne s’en rendent compte.

Une intervention au bon moment évite des complications et des traitements prolongés par la suite.

Découvrez si les habitudes de votre enfant nécessitent une prise en charge préventive.

ÉQUILIBRE FACIAL

L’équilibre facial correspond à l’harmonie entre la respiration, la langue, les lèvres, les dents et les mâchoires.
Lorsque l’un de ces éléments fonctionne de manière inappropriée — par exemple respirer par la bouche ou avoir une langue en position basse — la croissance du visage peut se dévier.

Signes fréquents de déséquilibre :

  • lèvres entrouvertes
  • difficulté à respirer par le nez
  • mâchoire qui se développe davantage d’un côté
  • dents qui ne s’emboîtent pas correctement

 

Identifier ces signes tôt permet de guider la croissance et d’éviter de futures altérations.

Demandez un avis professionnel pour savoir si le visage de votre enfant se développe correctement

HABITUDES QUI PEUVENT MODIFIER LA CROISSANCE NATURELLE

Habitudes fréquentes susceptibles de modifier la croissance naturelle :

SUCCION DU POUCE

pousse les dents vers l’avant.

RESPIRATION PAR LA BOUCHE

rétrécit le palais et affecte la posture faciale.

SE RONGER LES ONGLES

déplace les dents antérieures et use l’émail.

imagen_1350x1080

DÉGLUTITION ATYPIQUE

la langue pousse les dents vers l’avant au moment de la déglutition.

Ces habitudes peuvent modifier la position des dents, la forme des mâchoires et l’harmonie du visage
Grâce à une évaluation précoce, vous pouvez savoir si l’une de ces habitudes entraîne déjà des changements.

QUAND LES HABITUDES NE SONT PAS CORRIGÉES À TEMPS

Lorsque ces habitudes persistent sans être corrigées, elles peuvent modifier la manière dont votre enfant respire, mastique, parle et dort.

Ces changements apparaissent de façon progressive et silencieuse, mais avec le temps ils peuvent modifier l’apparence du visage et affecter la sécurité et la confiance de l’enfant.

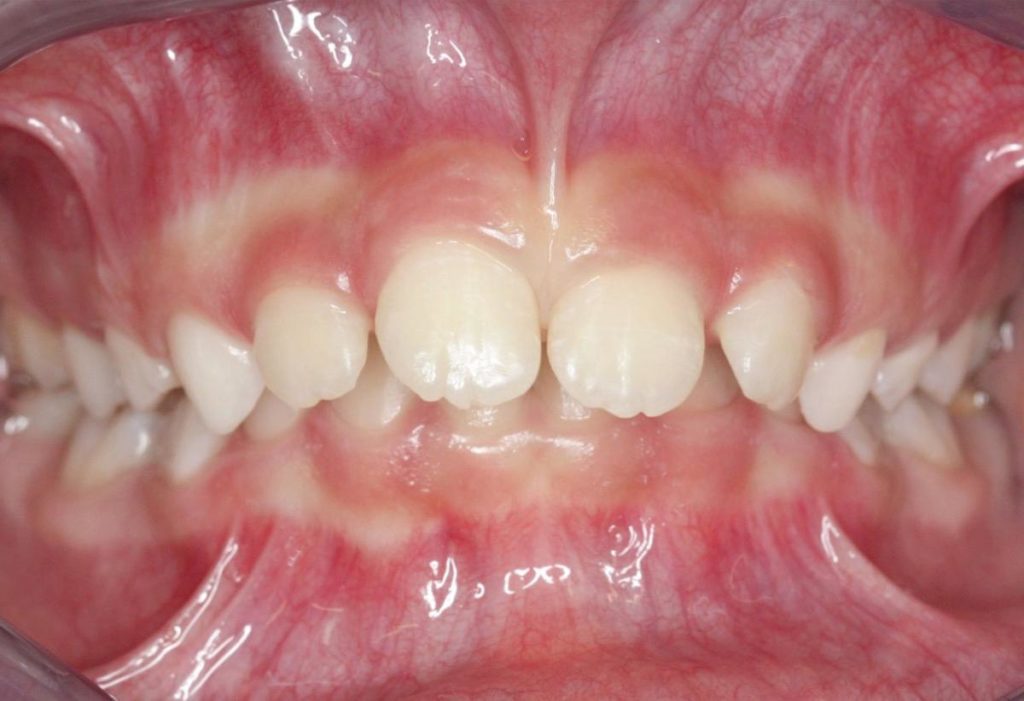
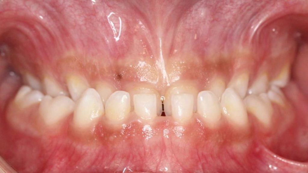
Dans certains cas, des altérations visibles de l’occlusion peuvent apparaître, allant de modifications très légères à des déviations plus marquées qui rendent les fonctions de base plus difficiles.

MORDIDA
ABIERTA

ARTICULADO EN CRUZ

SUPRACLUSIA

Demandez une évaluation précoce et évitez que les changements de l’occlusion et du visage n’évoluent inutilement.

L’IMPORTANCE D’INTERVENIR À TEMPS

Les habitudes ne disparaissent pas d’elles-mêmes.

Agir à temps permet d’éviter des traitements plus coûteux et plus complexes à l’avenir.

Bénéfices d’une intervention précoce :

  • amélioration de l’équilibre facial
  • diminution de la durée du traitement
  • amélioration de l’estime de soi et des fonctions
  • respiration et parole plus adéquates

 

Chez OrthoArt, le Dr Marín réalise une évaluation précise pour déterminer si votre enfant a besoin d’un traitement précoce ou simplement d’un suivi.

Demandez une consultation pour connaître les meilleures options préventives pour votre enfant.

ÉVALUATION PROFESSIONNELLE

Évaluation et diagnostic

La première consultation comprend :

  • revue des habitudes et des antécédents
  • examen clinique des dents et des mâchoires
  • photographies et radiographies si nécessaire

 

Cela permet de détecter d’éventuelles altérations de la croissance faciale ou de l’occlusion.

Demandez une évaluation complète pour savoir comment se développe le sourire de votre enfant.

PLAN DE TRAITEMENT

Un plan conçu selon les besoins de votre enfant

Si un problème est détecté, le plan peut inclure :

  • éducation et ajustements des habitudes à la maison
  • dispositifs oraux (uniquement s’ils sont nécessaires)
  • suivi périodique pour garantir les résultats

 

L’objectif est de corriger l’habitude, de guider la croissance et de prévenir les altérations.

Demandez une consultation pour connaître le plan idéal selon les besoins de votre enfant.

RÉSULTATS ATTENDUS

Résultats attendus du traitement

Avec une prise en charge précoce, la plupart des enfants :

  • abandonnent les habitudes nuisibles
  • améliorent leur croissance faciale
  • développent une fonction plus stable

 

obtiennent un sourire plus harmonieux et naturel

Demandez une consultation et découvrez comment un traitement précoce peut bénéficier à votre enfant.

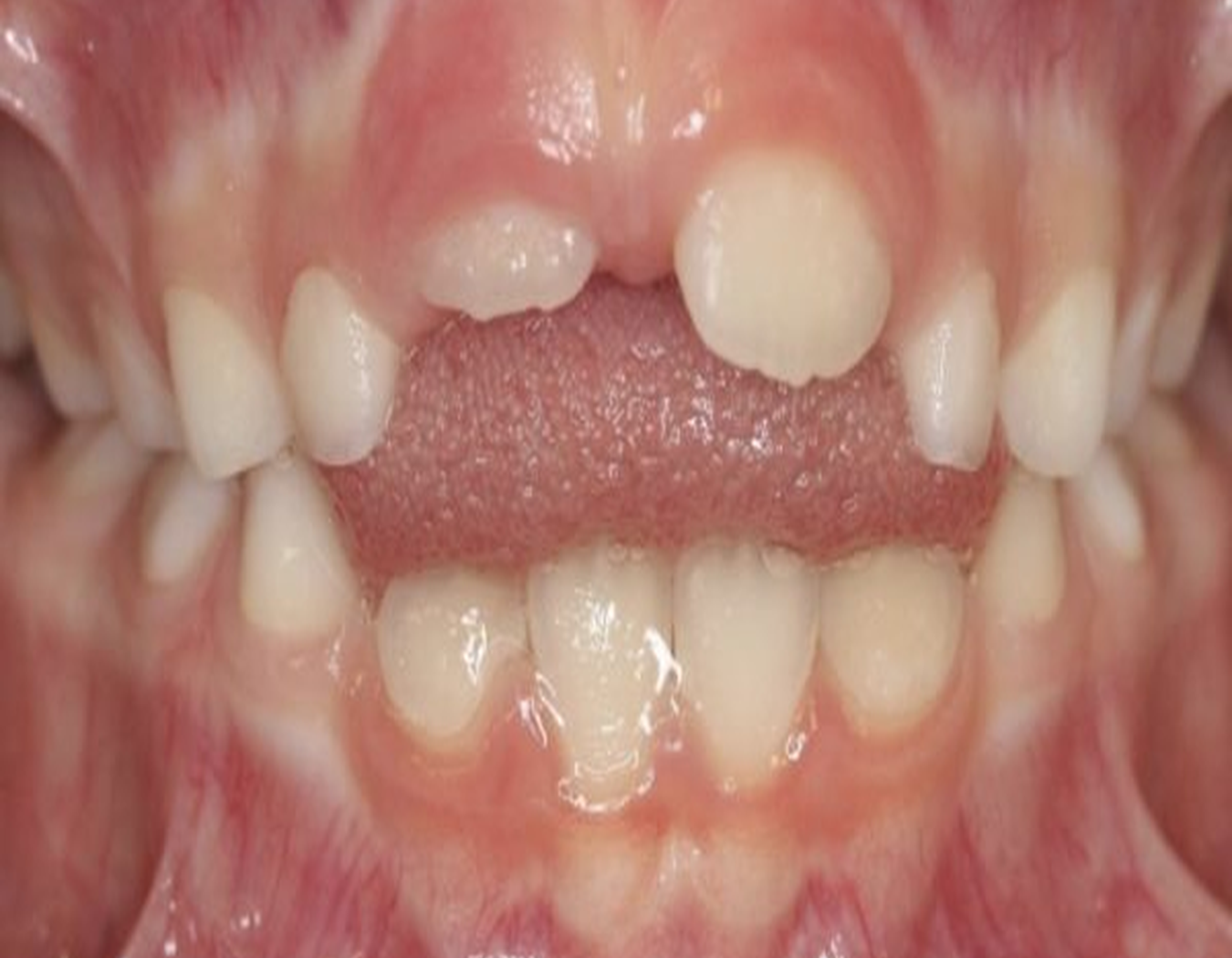
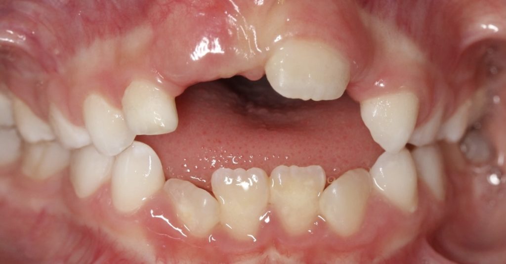
CAS CLINIQUES

Cas cliniques traités

Exemples fréquents pris en charge à la clinique :

  • altérations visibles de l’occlusion
  • déviations de la croissance faciale
  • modifications fonctionnelles liées à des habitudes persistantes

Béance dentaire

Avec charnières croisées

Supraclusie

Quelques cas traités par le Dr Marín.

Demandez une consultation pour évaluer si votre enfant présente des signes précoces d’altération.

CURRICULUM DU DR MARÍN

Dr. Luis Alberto Marin C.

Médecin dentiste

Avec 30 ans d’expérience en orthodontie, le Dr. Luis Alberto Marín est diplômé en médecine dentaire du Collège d’Odontologie Colombien.

Il a obtenu l’homologation de son diplôme par le Ministère de l’Éducation et des Sciences pour la licence en odontologie de l’Université de Saint-Jacques de Compostelle en 2007 (Espagne).

En 2015, il a reçu l’attestation de reconnaissance de la Mebeko, la Confédération à Berne, pour son diplôme de médecin-dentiste.

Le Dr. Luis Marín a complété une formation en orthodontie à l’Université Technologique de Mexico (UNITEC) et un Master en Orthodontie et Orthopédie dento-faciale à l’Université Cardinal Herrera de Valence, Espagne (CEU).

Il a exercé en Mexique, en Colombie, en Espagne et maintenant en Suisse.

Fort de plus de 25 ans d’expérience, il est spécialisé dans l’utilisation des technologies les plus avancées en imagerie et informatique, telles que les tracés céphalométriques, la simulation des traitements, la prédiction de la croissance, ainsi que les traitements chirurgicaux et orthodontiques informatisés, avec plus de 7000 patients traités dans sa pratique exclusive.

Demandez une consultation avec le spécialiste qui a déjà suivi plus de 7 000 cas.

CLÔTURE ET FORMULAIRE

Solicita una consulta de evaluación con el Dr. Marín y obtén un diagnóstico claro de la salud facial y dental de tu hijo.

LA CONSULTATION COMPREND :

  • photographies cliniques
  • évaluation détaillée
  • diagnostic complet
  • plan de traitement individualisé
  • devis
  • garanties de qualité

Clinique Onex

Clinique Geneve

“Este sitio no es parte del sitio web de Facebook o Facebook Inc. Además, este sitio NO está respaldado por Facebook de ninguna manera. FACEBOOK es una marca comercial de FACEBOOK, Inc. ”

Chat Icon